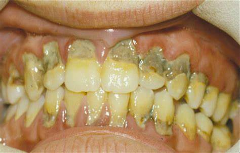
عندما تتلف الأسنان يصبح الفم مصدرا للعدوى، وهو ما من شأنه أن يؤثر سلبا على صحة الجسم بأكمله، لذلك من الضروري العناية بصحة الفم والأسنان بشكل جيد.
وفي مقالها الذي نشرته صحيفة “لوفيغارو” الفرنسية، قالت الكاتبة كاسندر فرادلين إن للأسنان دورا جماليا بالإضافة إلى كونها أساسية في عملية التغذية، لذلك من المهم العناية بها والتخلي عن بعض العادات اليومية التي يمكن أن تضرها بشكل كبير.
العادات التي تدمر الاسنان
شرب عصير الليمون في الصباح
الليمون معروف بفوائده الصحية، لذلك يوصى أحيانًا بشربه في الصباح لتعزيز عملية الهضم، لكن هذا النوع من الحمضيات مضر بالأسنان.
وتحذر اختصاصية جراحة الأسنان كاثرين روسي من “حموضة الليمون التي تؤدي إلى تآكل مينا الأسنان بشكل لا يمكن إصلاحه”، والمينا هي الطبقة البيضاء القاسية من السن.
استخدام بيكربونات الصودا
يزعم البعض أن غسل الأسنان بمادة بيكربونات الصودا يحافظ على بياضها الناصع، إلا أن اختصاصية جراحة الأسنان تحذر من هذه الممارسة، فهي تؤدي إلى تخريب الأسنان. ولتنظيف الأسنان أو تبييضها عليك مراجعة طبيب الأسنان، حيث هناك طرق للتبييض في العيادة تحافظ على سلامة الأسنان.عادات مدمرة

غسل الأسنان بمادة بيكربونات
عادات مدمرة
تحذر كاثرين روسي من أن التغير المفاجئ في درجة حرارة الفم، مثل شرب القهوة ثم كوب من الماء بعد ذلك، يؤدي إلى
عندما تتلف الأسنان يصبح الفم مصدرا للعدوى، وهو ما من شأنه أن يؤثر سلبا على صحة الجسم بأكمله، لذلك من الضروري العناية بصحة الفم والأسنان بشكل جيد.
الرائحة الكريهة
تحذر كاثرين روسي من أن التغير المفاجئ في درجة حرارة الفم، مثل شرب القهوة ثم كوب من الماء بعد ذلك، يؤدي إلىيد.
الباكتيريا المدمرة
تحذر كاثرين روسي من أن التغير المفاجئ في درجة حرارة الفم، مثل شرب القهوة ثم كوب من الماء بعد ذلك، يؤدي إلىيد.
التخلص من التسوس
عندما تتلف الأسنان يصبح الفم مصدرا للعدوى، وهو ما من شأنه أن يؤثر سلبا على صحة الجسم بأكمله، لذلك من الضروري العناية
اسباب التسوس وعلاجه
تحذر كاثرين روسي من أن التغير المفاجئ في درجة حرارة الفم، مثل شرب القهوة ثم كوب من الماء بعد ذلك، يؤدي تحذر كاثرين روسي من أن التغير المفاجئ في درجة حرارة الفم، مثل شرب القهوة ثم كوب من الماء بعد ذلك، يؤدي إلىيد. تحذر كاثرين روسي من أن التغير المفاجئ في درجة حرارة الفم، مثل شرب القهوة ثم كوب من الماء بعد ذلك، يؤديإلىيد.


تحذر كاثرين روسي من أن التغير المفاجئ في درجة حرارة الفم، مثل

الخاتمة
تحذر كاثرين روسي من أن التغير المفاجئ في درجة حرارة الفم، مثل شرب القهوة ثم كوب من الماء بعد ذلك، يؤدي تحذر كاثرين روسي من أن التغير المفاجئ في درجة حرارة الفم، مثل شرب القهوة ثم كوب من الماء بعد ذلك، يؤدي إلىيد. تحذر كاثرين روسي من أن التغير المفاجئ في درجة حرارة الفم، مثل شرب القهوة ثم كوب من الماء بعد ذلك، يؤديإلىيد.

Add a Comment